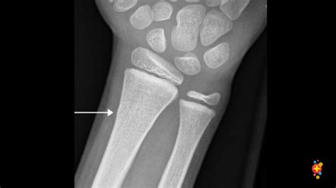
A buckle fracture, also known as a torus fracture, is a type of fracture that occurs in the wrist, typically in children. It is a common injury that occurs when a child falls onto an outstretched hand, causing the bone to bend and partially break. The fracture gets its name from the fact that the bone "buckles" or bends, rather than completely breaking. Buckle fractures are often seen in the distal radius, which is the bone in the forearm that connects to the wrist.
The wrist is a complex joint that consists of eight small bones, known as the carpal bones, which work together to provide a wide range of motion. The distal radius is one of the two bones in the forearm that connects to the wrist, and it plays a crucial role in supporting the wrist and allowing for movement. When a buckle fracture occurs, it can cause pain, swelling, and limited mobility in the affected wrist. In some cases, the fracture may also cause numbness or tingling in the hand or fingers.
Key Points
- A buckle fracture is a type of fracture that occurs in the wrist, typically in children.
- The fracture occurs when a child falls onto an outstretched hand, causing the bone to bend and partially break.
- Buckle fractures are often seen in the distal radius, which is the bone in the forearm that connects to the wrist.
- Symptoms of a buckle fracture include pain, swelling, and limited mobility in the affected wrist.
- Treatment for a buckle fracture typically involves immobilization in a cast or splint, followed by physical therapy to restore strength and mobility.
Causes and Risk Factors

Buckle fractures are most commonly seen in children, as their bones are still growing and are more susceptible to bending and partial breaks. The fracture typically occurs when a child falls onto an outstretched hand, causing the bone to bend and partially break. This type of fall is common in children, as they often use their hands to break their fall when they trip or slip. Other risk factors for buckle fractures include osteoporosis, which can weaken the bones and make them more prone to fractures, and certain medical conditions, such as rickets or osteogenesis imperfecta, which can affect bone health.
Symptoms and Diagnosis
The symptoms of a buckle fracture can vary depending on the severity of the injury. Common symptoms include pain, swelling, and limited mobility in the affected wrist. In some cases, the fracture may also cause numbness or tingling in the hand or fingers. To diagnose a buckle fracture, a doctor will typically perform a physical examination and take a medical history. They may also order imaging tests, such as X-rays or a CT scan, to confirm the diagnosis and assess the severity of the fracture.
| Symptom | Description |
|---|---|
| Pain | Pain or tenderness in the affected wrist, which can range from mild to severe. |
| Swelling | Swelling or bruising in the affected wrist, which can be accompanied by redness and warmth. |
| Limited Mobility | Limited mobility or stiffness in the affected wrist, which can make it difficult to move the wrist or hand. |
| Numbness or Tingling | Numbness or tingling in the hand or fingers, which can be caused by pressure on the nerves. |

Treatment and Management

Treatment for a buckle fracture typically involves immobilization in a cast or splint, followed by physical therapy to restore strength and mobility. The goal of treatment is to allow the bone to heal properly, while also restoring function and mobility to the affected wrist. In some cases, surgery may be necessary to stabilize the bone and promote healing. It’s essential to work with a medical professional to develop a treatment plan that meets the individual needs of the patient.
Complications and Prevention
While buckle fractures can be painful and inconvenient, they are typically not serious and can be treated effectively with immobilization and physical therapy. However, if left untreated, buckle fractures can lead to complications, such as malunion or nonunion, which can cause chronic pain and limited mobility. To prevent buckle fractures, it’s essential to take steps to reduce the risk of falls, such as wearing protective gear when participating in sports or activities, and maintaining good bone health through a balanced diet and regular exercise.
What is a buckle fracture?
+A buckle fracture is a type of fracture that occurs in the wrist, typically in children. It is a common injury that occurs when a child falls onto an outstretched hand, causing the bone to bend and partially break.
What are the symptoms of a buckle fracture?
+The symptoms of a buckle fracture can vary depending on the severity of the injury. Common symptoms include pain, swelling, and limited mobility in the affected wrist. In some cases, the fracture may also cause numbness or tingling in the hand or fingers.
How is a buckle fracture treated?
+Treatment for a buckle fracture typically involves immobilization in a cast or splint, followed by physical therapy to restore strength and mobility. The goal of treatment is to allow the bone to heal properly, while also restoring function and mobility to the affected wrist.
In conclusion, buckle fractures are a common injury that can occur in children, typically as a result of a fall onto an outstretched hand. While the symptoms can be painful and inconvenient, treatment is typically effective, and most children can expect to make a full recovery with proper care and management. By understanding the causes, symptoms, and treatment options for buckle fractures, parents and caregivers can take steps to reduce the risk of injury and promote healthy bone development in children.