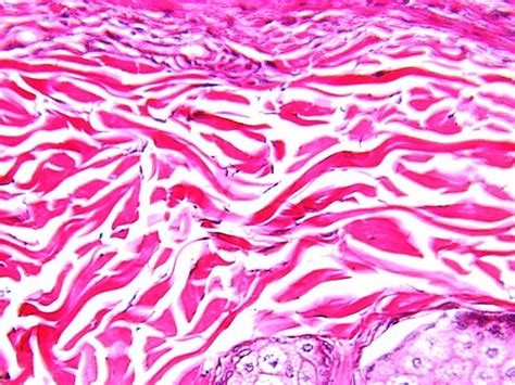
Dense irregular connective tissue is a type of connective tissue found in various parts of the human body, playing a crucial role in providing support, protection, and structure to organs and other body systems. This tissue is composed of a dense matrix of collagen fibers, elastin fibers, and fibroblasts, which are embedded in a ground substance. The unique arrangement of these components allows dense irregular connective tissue to withstand significant stress and tension, making it an essential component of the body's structural framework.
The primary function of dense irregular connective tissue is to provide mechanical support and protection to the organs and tissues it surrounds. This is particularly evident in the dermis of the skin, where dense irregular connective tissue forms a thick layer of fibrous tissue that helps to resist external forces and maintain the skin's integrity. Additionally, this tissue type is found in the capsules of organs such as the liver, kidney, and spleen, where it provides a protective layer that helps to maintain the organ's shape and prevent damage.
Key Points
- Dense irregular connective tissue provides mechanical support and protection to organs and tissues
- Composed of a dense matrix of collagen fibers, elastin fibers, and fibroblasts embedded in a ground substance
- Found in various parts of the body, including the dermis of the skin and the capsules of organs
- Plays a crucial role in maintaining the structural integrity of the body
- Can withstand significant stress and tension due to its unique arrangement of components
Structure and Composition

The structure and composition of dense irregular connective tissue are critical to its function. The tissue is composed of a dense network of collagen fibers, which provide tensile strength and resistance to stretching. Elastin fibers, on the other hand, allow the tissue to stretch and recoil, providing elasticity and flexibility. Fibroblasts, the primary cell type in dense irregular connective tissue, produce and maintain the collagen and elastin fibers, as well as the ground substance that surrounds them.
Collagen Fibers
Collagen fibers are the primary component of dense irregular connective tissue, making up approximately 70-80% of the tissue’s dry weight. These fibers are composed of collagen molecules, which are triple-helical structures consisting of three polypeptide chains. The collagen molecules are arranged in a staggered fashion, with each molecule overlapping its neighbor by about 25%. This arrangement allows for the formation of strong hydrogen bonds between the molecules, which provides the tissue with its tensile strength.
| Type of Collagen Fiber | Location | Function |
|---|---|---|
| Type I collagen | Dermis of the skin, tendons, and ligaments | Provides tensile strength and resistance to stretching |
| Type III collagen | Reticular fibers, blood vessels, and muscles | Provides elasticity and flexibility |

Functions and Locations

Dense irregular connective tissue is found in various parts of the body, including the dermis of the skin, the capsules of organs, and the fascia that surrounds muscles and other tissues. The tissue’s unique structure and composition allow it to perform a range of functions, including providing mechanical support and protection, facilitating movement and flexibility, and maintaining the structural integrity of the body.
In the dermis of the skin, dense irregular connective tissue helps to resist external forces, such as friction and tension, and maintains the skin's integrity. In the capsules of organs, the tissue provides a protective layer that helps to maintain the organ's shape and prevent damage. The fascia that surrounds muscles and other tissues also contains dense irregular connective tissue, which helps to provide mechanical support and facilitate movement.
Importance in Human Health
Dense irregular connective tissue plays a critical role in maintaining the structural integrity of the body, and its dysfunction or damage can lead to a range of diseases and disorders. For example, damage to the dermis of the skin can lead to skin ulcers, while damage to the capsules of organs can lead to organ failure. Additionally, disorders such as scleroderma and fibromyalgia are characterized by abnormalities in the dense irregular connective tissue, leading to symptoms such as skin thickening and muscle pain.
In conclusion, dense irregular connective tissue is a vital component of the human body, providing mechanical support and protection to organs and tissues. Its unique structure and composition allow it to withstand significant stress and tension, making it an essential component of the body's structural framework. Understanding the functions and locations of dense irregular connective tissue is critical for appreciating its importance in human health and disease.
What is the primary function of dense irregular connective tissue?
+The primary function of dense irregular connective tissue is to provide mechanical support and protection to organs and tissues.
Where is dense irregular connective tissue found in the body?
+Dense irregular connective tissue is found in various parts of the body, including the dermis of the skin, the capsules of organs, and the fascia that surrounds muscles and other tissues.
What is the composition of dense irregular connective tissue?
+Dense irregular connective tissue is composed of a dense network of collagen fibers, elastin fibers, and fibroblasts embedded in a ground substance.