Stress fractures in the shin, also known as medial tibial stress syndrome, are a common overuse injury that affects the tibia, the larger of the two bones in the lower leg. This type of injury is prevalent among athletes who participate in sports that involve running, jumping, and repetitive landing, such as basketball, soccer, and track and field. The shin is a complex structure composed of bone, muscle, and connective tissue, and stress fractures occur when there is an imbalance between the stress applied to the bone and its ability to withstand that stress.
The symptoms of a stress fracture in the shin can vary, but they often begin with a dull ache or soreness in the lower leg, which may worsen over time. Athletes may experience pain or tenderness when touching the affected area, and the pain may be exacerbated by activities such as running, jumping, or even walking. In some cases, the pain may be severe enough to limit an athlete's ability to participate in their sport. According to a study published in the Journal of Orthopaedic and Sports Physical Therapy, the incidence of stress fractures in the shin is estimated to be around 10-20% in runners, with the majority of cases occurring in the distal third of the tibia.
Key Points
- Stress fractures in the shin are a common overuse injury that affects the tibia
- Symptoms include dull ache or soreness in the lower leg, pain or tenderness when touching the affected area, and exacerbation of pain with activity
- Athletes who participate in sports that involve running, jumping, and repetitive landing are at higher risk
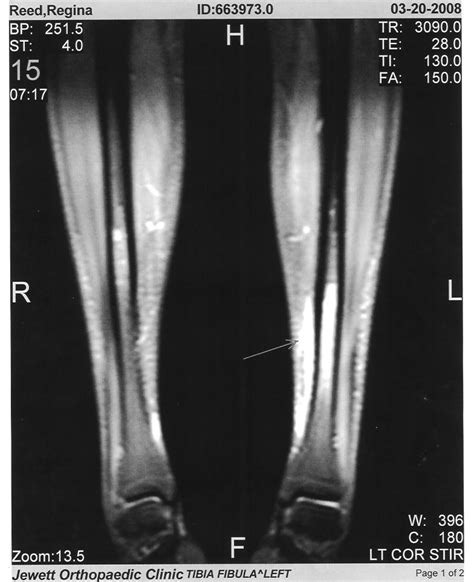
- Imaging studies such as X-rays, CT scans, or MRI scans may be necessary to confirm diagnosis
- Treatment options include rest, ice, compression, and elevation, as well as physical therapy and orthotics
Causes and Risk Factors

The causes of stress fractures in the shin are multifactorial, and may include a combination of biomechanical, training, and nutritional factors. Biomechanical factors such as overpronation or supination of the foot, as well as muscle imbalances in the lower leg, can increase the stress applied to the tibia. Training factors such as sudden changes in intensity or volume, inadequate recovery time, and poor footwear can also contribute to the development of stress fractures. Additionally, nutritional factors such as inadequate calcium or vitamin D intake can affect bone health and increase the risk of stress fractures.
A study published in the Journal of Science and Medicine in Sport found that runners who had a history of stress fractures were more likely to have a higher vertical jump height and a shorter stride length, suggesting that biomechanical factors may play a role in the development of stress fractures. Furthermore, a review of 22 studies on stress fractures in athletes found that the majority of cases occurred in the tibia, and that the risk of stress fractures was higher in athletes who participated in sports that involved running and jumping.
Diagnosis and Treatment
Diagnosing a stress fracture in the shin can be challenging, as the symptoms may be similar to those of other conditions such as shin splints or medial tibial stress syndrome. Imaging studies such as X-rays, CT scans, or MRI scans may be necessary to confirm the diagnosis. Treatment options for stress fractures in the shin typically include rest, ice, compression, and elevation, as well as physical therapy and orthotics to address any biomechanical factors that may be contributing to the injury.
| Stress Fracture Location | Incidence |
|---|---|
| Distal third of the tibia | 60-70% |
| Middle third of the tibia | 20-30% |
| Proximal third of the tibia | 10-20% |

Prevention and Recovery

Preventing stress fractures in the shin requires a multifaceted approach that includes proper training, biomechanical analysis, and nutritional counseling. Athletes should gradually increase their training intensity and volume, and include rest and recovery days in their training schedule. Biomechanical analysis can help to identify any muscle imbalances or biomechanical factors that may be contributing to the risk of stress fractures, and orthotics or shoe inserts can be used to address any biomechanical issues.
Nutritional counseling can also play a critical role in preventing stress fractures, as adequate calcium and vitamin D intake are essential for maintaining strong bones. A study published in the Journal of the International Society of Sports Nutrition found that athletes who consumed a diet rich in calcium and vitamin D had a lower risk of stress fractures than those who did not. Additionally, athletes should stay hydrated and fuel their bodies with a balanced diet that includes plenty of fruits, vegetables, and whole grains.
What is the most common location for stress fractures in the shin?
+The most common location for stress fractures in the shin is the distal third of the tibia, which accounts for approximately 60-70% of all cases.
How can I prevent stress fractures in the shin?
+To prevent stress fractures in the shin, it's essential to gradually increase training intensity and volume, include rest and recovery days in your training schedule, and address any biomechanical issues through orthotics or shoe inserts. Additionally, consuming a diet rich in calcium and vitamin D can help to maintain strong bones.
What is the typical treatment for stress fractures in the shin?
+The typical treatment for stress fractures in the shin includes rest, ice, compression, and elevation, as well as physical therapy and orthotics to address any biomechanical factors that may be contributing to the injury.
In conclusion, stress fractures in the shin are a common overuse injury that can be challenging to diagnose and treat. By understanding the causes and risk factors, and by implementing a comprehensive treatment plan that addresses biomechanical, training, and nutritional factors, athletes can reduce their risk of stress fractures and promote optimal recovery. As a sports medicine physician, it’s essential to consider the athlete’s individual needs and develop a personalized treatment plan that addresses their unique circumstances.